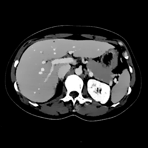
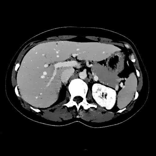
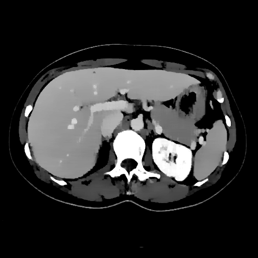
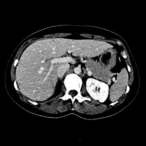
3D-examples
Edge Preserving Smoothing
Nonlinear Gaussian Filter Chains
Prof. Dr. V. Aurich
Institut für Informatik
Heinrich-Heine-Universität
Düsseldorf
Abstract 2D-examples 3D-examples Publications Programs Home Page

Elimination of texture for facilitating segmentation tasks