| 3D-examples |
|
Prof. Dr. V. Aurich
Institut für Informatik Heinrich-Heine-Universität Düsseldorf |
| Abstract | 2D-examples | 3D-examples | Publications | Programs | Home Page |
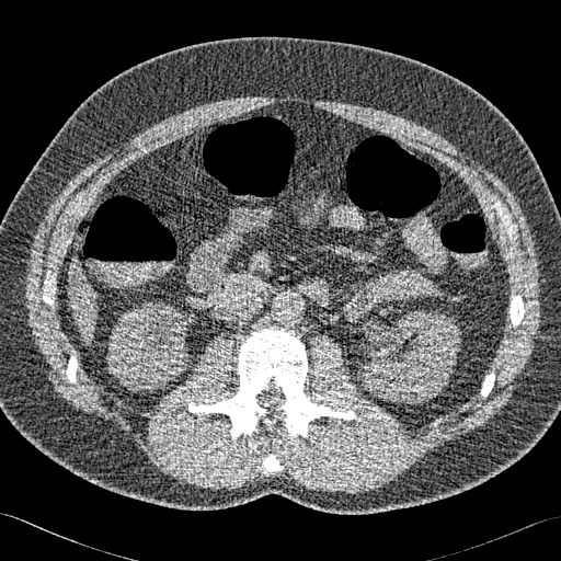
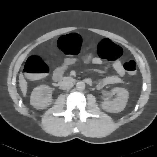
Elimination of noise in ultra low dose CT data
original section
after smoothing
after strong smoothing



original section
after smoothing


The same data displayed using a different gray level window

